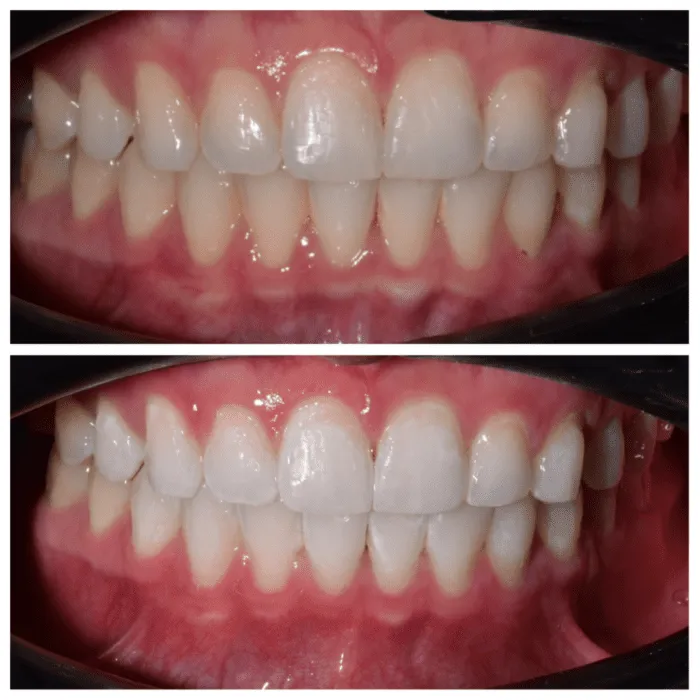
What is Zoom Whitening
Zoom whitening is a popular and effective in-office teeth whitening procedure offered by dental professionals. It’s designed to quickly and significantly brighten your smile in just one appointment. Unlike over-the-counter whitening treatments, Zoom whitening uses a high-concentration hydrogen peroxide whitening gel activated by a specialized light. This combination allows for deeper penetration of the enamel, breaking down stains and discoloration to reveal a noticeably whiter and brighter smile. The treatment is ideal for individuals looking for rapid and dramatic results, effectively addressing stains caused by coffee, tea, tobacco, and aging. The process is generally safe and can provide several shades of improvement in a single session, making it a preferred choice for those seeking a quick smile transformation. The effectiveness of Zoom whitening depends on the individual and the severity of the stains, but most patients experience a significant enhancement in their smile’s appearance.
The Zoom Whitening Procedure Step-by-Step
Understanding the Zoom whitening procedure can ease any anxiety and help you know what to expect during your visit. From the initial consultation to the final steps, each stage is carefully executed to ensure optimal results and patient comfort. The process typically takes about an hour to an hour and a half, providing a convenient option for achieving a brighter smile without extensive time commitment. The dentist and their team will guide you through each step, making sure you are comfortable and informed throughout the procedure. Knowing the process beforehand prepares you and allows you to focus on the exciting outcome – a radiant and rejuvenated smile.
Consultation and Preparation

Before starting the Zoom whitening procedure, a thorough consultation is essential. The dentist will examine your teeth and gums to assess your oral health and determine if you’re a good candidate for the treatment. This includes checking for any cavities, gum disease, or existing dental work. The dentist will also discuss your expectations and desired outcome, explaining the procedure in detail and answering any questions you may have. They’ll likely take pictures of your teeth to document the initial shade for comparison after the treatment. Proper preparation is key to ensuring the procedure’s success and the comfort of the patient. This step is designed to personalize the treatment plan, addressing individual needs and setting realistic expectations. The dentist also guides you through pre-treatment instructions, ensuring that you are fully informed and ready for the upcoming procedure.
Teeth Cleaning
The teeth cleaning step is crucial to removing any surface stains and plaque that could hinder the whitening process. A dental hygienist will polish your teeth, eliminating any buildup that might affect the gel’s efficacy. This cleaning ensures the whitening agent can directly contact the tooth enamel. The cleaning process is usually gentle and straightforward, preparing your teeth for optimal whitening results. Clean teeth allow the whitening gel to penetrate effectively and evenly, leading to a brighter, more uniform result. This stage makes certain that the subsequent stages of the Zoom whitening process are performed with maximum effectiveness.
Gum Protection
Protecting your gums is one of the most important steps to ensure a comfortable and safe procedure. The dentist will apply a protective barrier, often in the form of a gel or a rubber dam, to shield your gums from the whitening agent. This is to prevent any irritation or sensitivity that the hydrogen peroxide in the whitening gel can cause. The protective barrier is carefully applied, ensuring that it completely covers the gums and soft tissues surrounding the teeth. This step is designed to isolate the teeth, keeping the whitening gel focused only on the enamel and avoiding contact with sensitive tissues. The process is designed to make the procedure as comfortable as possible while guaranteeing patient safety.
Applying the Whitening Gel

Once the gums are protected, the dentist will apply the Zoom whitening gel to the surface of your teeth. The gel is a high-concentration hydrogen peroxide solution specially formulated for professional teeth whitening. The dentist will apply a generous layer of the gel to each tooth, ensuring complete coverage of the visible surfaces. The whitening gel then penetrates the enamel, breaking down the stains and discoloration. The application process is precise and carefully executed, ensuring every tooth gets the treatment. This step is crucial because it is the active agent that delivers the whitening effect, leading to the brightened smile you desire.
Using the Zoom Whitening Light
After the gel is applied, the dentist will use a specialized Zoom whitening light. This light emits a specific wavelength of light that activates the hydrogen peroxide in the gel, accelerating the whitening process. The light is positioned close to your teeth, and you will wear protective eyewear to shield your eyes from the light. The light activates the gel, causing it to break down stains more rapidly and effectively. The activation process is usually done in cycles, with the light being applied for a specific duration and then paused. The combination of the whitening gel and the light significantly boosts the whitening power, resulting in a dramatically improved smile in a short time.
The Whitening Cycle
The Zoom whitening process typically involves several cycles of applying the whitening gel and exposing your teeth to the Zoom light. Each cycle usually lasts about 15 minutes, and multiple cycles may be repeated during the session. Your dentist will monitor the progress during each cycle, assessing the shade of your teeth and ensuring your comfort. The number of cycles depends on your desired level of whitening and the initial shade of your teeth. Each cycle contributes to the cumulative effect of the whitening process. During this stage, the dentist closely monitors how your teeth are responding to the treatment and makes any necessary adjustments to maximize the results. This multiple-cycle approach maximizes the effectiveness of the whitening treatment, giving you a significantly brighter smile.
Final Steps and Post-Whitening Care

Once the final whitening cycle is complete, the dentist will remove the protective barrier from your gums and rinse your mouth. You may be given a fluoride treatment to help reduce any potential sensitivity. Your dentist will also provide you with post-whitening care instructions. These instructions typically include avoiding certain foods and drinks that can stain your teeth for a few days and using a sensitivity toothpaste if necessary. This phase is important for preserving the results of the whitening procedure. The dentist will provide you with the guidelines you need to keep your new smile looking great. Adhering to these guidelines is crucial to maintain and extend the benefits of your Zoom whitening treatment. This helps you maintain your brilliantly white smile long after leaving the dental office.
The Benefits of Zoom Whitening
Zoom whitening offers several advantages compared to other teeth-whitening options. The primary benefit is the dramatic results achieved in a single office visit, making it a convenient and efficient choice. The procedure is also highly effective, capable of removing stubborn stains and significantly brightening your smile. Zoom whitening is a safe and controlled process performed under the supervision of a dental professional, minimizing the risk of complications. The treatment provides long-lasting results, especially with proper maintenance. It boosts your confidence and makes you feel good about your smile. Zoom whitening is a popular option for anyone looking to improve their smile quickly and effectively.
Professional vs. At-Home Whitening
When considering teeth whitening, you have two primary choices professional whitening, such as Zoom, and at-home whitening kits. Professional whitening offers several advantages. It provides faster and more dramatic results because of the higher concentration of the whitening agents used and the specialized equipment. Your dentist supervises the procedure, ensuring safety and effectiveness while addressing any concerns. At-home whitening kits may be more convenient, but the results are generally less dramatic, and it can take longer to see improvements. The success and effectiveness depend on your commitment and the consistent use of the kit. Professional whitening also provides a personalized treatment plan tailored to your unique needs, ensuring optimal results and safety. The most appropriate approach depends on individual preferences, expectations, and oral health conditions. Your dentist can guide you through the process and help you choose the best option.
How Long Does Zoom Whitening Last

The longevity of Zoom whitening results varies depending on individual habits and lifestyle. Generally, the effects of Zoom whitening can last from one to three years, or even longer with proper maintenance. Factors such as your diet, oral hygiene practices, and any habits like smoking can influence how long your teeth remain bright. Regular dental check-ups and cleanings will help maintain your results and keep your teeth healthy. To extend the life of your whitening, consider following your dentist’s recommendations. This can include using whitening toothpaste, avoiding stain-causing foods and drinks, and using touch-up treatments as needed. Proper care and maintenance will ensure that you continue to enjoy your brighter smile for years to come. Keeping your smile bright and healthy is an ongoing effort.
Factors Affecting Results
Several factors can influence the longevity and effectiveness of your Zoom whitening results. Your diet is a significant factor, as regularly consuming foods and drinks known to stain teeth, such as coffee, tea, red wine, and berries, can diminish the whitening effects. Smoking also significantly impacts your results, causing discoloration and reducing the longevity of your bright smile. Your oral hygiene plays a vital role. Brushing and flossing regularly help remove surface stains and plaque, which contributes to your teeth’s brightness. Your genetic makeup and the natural shade of your teeth also influence the final outcome. Regular dental check-ups and cleanings will assist in maintaining the results. Addressing these factors can ensure that your Zoom whitening results last longer and your smile remains radiant.
Maintaining Your Bright Smile
Maintaining your bright, white smile requires consistent effort. Proper oral hygiene is key to preserving your whitening results. Brush your teeth at least twice daily using a whitening toothpaste, and floss daily to remove any food particles and plaque. Avoid or limit the consumption of stain-causing foods and drinks, such as coffee, tea, and red wine. When you do consume these items, rinse your mouth with water immediately afterward to minimize staining. Regular dental check-ups and cleanings are also essential, as your dentist can remove any surface stains and assess your overall oral health. Consider using touch-up treatments at home if needed, following your dentist’s instructions. Practicing these steps ensures that your smile remains bright and radiant for a long time.
Potential Side Effects and Risks

While Zoom whitening is generally considered safe, some potential side effects and risks should be considered. The most common side effects are temporary and mild, typically resolving within a few days after the procedure. The dentist will discuss these aspects with you during the consultation to ensure you are fully informed. Being aware of these possible side effects is important so that you can address them effectively and take action.
Sensitivity
Tooth sensitivity is a frequently reported side effect of Zoom whitening. You may experience temporary sensitivity to hot or cold foods and drinks. The intensity of the sensitivity varies among individuals, ranging from mild to moderate. This sensitivity usually subsides within a few days after the treatment. Your dentist may suggest specific toothpaste to use during and after the procedure to help reduce sensitivity. Using a toothpaste designed for sensitive teeth can provide relief and enhance your comfort. Avoid overly hot or cold foods and drinks immediately after the procedure to minimize discomfort. If the sensitivity persists or becomes severe, consult your dentist, as they may recommend additional treatments or strategies to manage the sensitivity.
Irritation
Some patients may experience mild gum irritation or soft tissue irritation as a result of the Zoom whitening procedure. The protective measures taken by the dentist, such as applying a protective barrier to the gums, will minimize this risk. However, some patients may still experience some discomfort, such as mild inflammation or soreness, after the treatment. This irritation usually resolves within a few days and typically does not require medical intervention. Your dentist may provide you with aftercare instructions and recommendations for managing any irritation. Avoid touching or irritating the affected areas and follow any post-treatment instructions. If the irritation is severe or prolonged, consult your dentist. They can assess the situation and provide appropriate treatment or recommendations to alleviate the discomfort.
Alternatives to Zoom Whitening

Several alternatives to Zoom whitening offer effective options for brightening your smile. Professional teeth whitening treatments, such as KöR whitening and laser whitening, provide similar results but use slightly different methods or technologies. At-home whitening kits offer a more convenient option, but they usually take longer to produce noticeable results. Over-the-counter whitening products, like whitening strips and toothpastes, are readily available and can provide a subtle brightening effect. Veneers and dental bonding are cosmetic procedures that can provide an alternative if teeth whitening is not suitable. Your dentist can advise you on the best option for you based on your needs and preferences. Your dentist considers your oral health and the outcome that you desire. They can help you navigate the various choices.
Conclusion
Zoom whitening is a highly effective and popular cosmetic procedure that can significantly enhance the appearance of your smile. Understanding the Zoom whitening procedure, from the consultation to the post-whitening care, allows you to make an informed decision. This guide covers the benefits, procedure steps, potential side effects, and alternatives to Zoom whitening. Consulting with your dentist will provide the best guidance based on your unique needs. By following the provided guidelines, you can enjoy a brighter, more confident smile for years to come. Proper care and maintenance, along with regular dental check-ups, will help maintain your beautiful and healthy smile. Taking care of your teeth and smile is an investment in your self-confidence and overall well-being.
