Are you dreaming of a brighter, more confident smile? Zoom teeth whitening is a popular and effective cosmetic dentistry treatment that can significantly enhance your appearance. This professional teeth whitening method offers numerous advantages, making it a go-to choice for individuals seeking a radiant smile transformation. In this article, we delve into the top 5 benefits of Zoom teeth whitening, exploring how this innovative procedure can help you achieve your desired aesthetic goals and boost your overall well-being. From instant results to long-term advantages, discover why Zoom teeth whitening could be the perfect solution for a dazzling smile.
Top 5 Zoom Teeth Whitening Benefits
Benefit 1 Enhanced Confidence
One of the most significant benefits of Zoom teeth whitening is the boost in self-confidence it provides. A brighter, whiter smile can dramatically improve your self-perception and how you present yourself to the world. When you feel good about your smile, you’re more likely to smile more often, which can have a positive impact on your interactions with others. The psychological effect of having a beautiful smile should not be underestimated. This can lead to enhanced confidence in both personal and professional settings, allowing you to approach social situations with greater ease and self-assurance. Imagine walking into a room and instantly feeling more comfortable and self-assured simply because you love your smile.
Benefit 1 Boosted Self-Esteem

Related to enhanced confidence, the whitening process can directly elevate your self-esteem. Self-esteem is the overall sense of self-worth, and your smile plays a huge role in how you see yourself. A stained or discolored smile can be a source of insecurity, causing you to feel self-conscious and less inclined to smile openly. Zoom teeth whitening addresses these concerns by removing stains and brightening the teeth, providing a noticeable improvement in your appearance. This visual change can have a profound impact on your emotional well-being, leading to increased self-esteem. The result is a more positive self-image, which is crucial for overall happiness and mental health. Seeing yourself with a radiant smile can significantly improve your self-image and promote a greater sense of well-being.
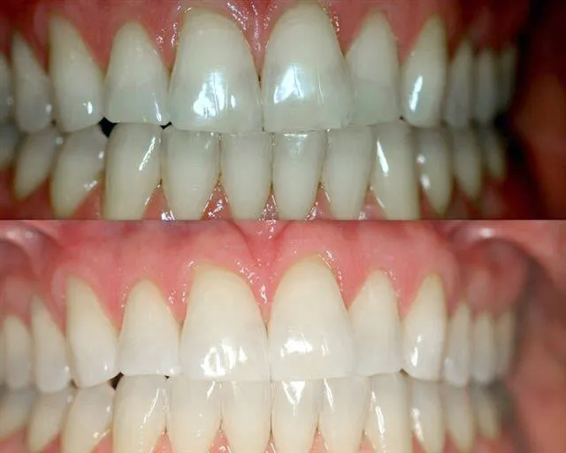
Benefit 2 Effective Stain Removal
Zoom teeth whitening is incredibly effective at removing stains and discoloration caused by various factors. Whether the stains are from coffee, tea, red wine, tobacco, or certain foods, Zoom whitening is designed to address a wide range of discoloration issues. The whitening gel, activated by a special light, penetrates the enamel and breaks down the stain-causing molecules, restoring the natural whiteness of your teeth. This advanced technology ensures that even deep-seated stains are effectively targeted, providing a comprehensive solution for a brighter smile. The effectiveness of Zoom whitening makes it a superior choice for those seeking to remove years of accumulated discoloration and reveal a more youthful appearance. The before and after results are often striking and immediate, leaving patients delighted with their new smile.
Benefit 2 Addressing Discoloration
Beyond superficial stains, Zoom whitening can also address more profound types of tooth discoloration. Some patients may experience intrinsic stains due to medication, aging, or genetic factors. While these stains can be more challenging to treat, Zoom whitening can still provide a noticeable improvement in appearance. The process effectively lifts discoloration, improving the overall shade of the teeth and providing a more even and vibrant smile. This ability to tackle various forms of discoloration sets Zoom whitening apart from other methods. The procedure allows you to achieve a significantly improved smile, enhancing your overall appearance and boosting your confidence. A visit to a professional dentist is essential to assess the type and degree of discoloration and ensure that Zoom whitening is the most appropriate solution for your needs. The treatment’s effectiveness ensures you achieve the desired results.
Benefit 3 Fast and Convenient

One of the primary appeals of Zoom teeth whitening is its speed and convenience. The entire procedure is performed in a single office visit, typically lasting around an hour. This is a significant advantage over other whitening methods, which may require multiple appointments or at-home treatments over several weeks. The immediate results of Zoom whitening mean that you can walk out of the dentist’s office with a noticeably brighter smile in a very short time. This convenience is particularly beneficial for busy individuals who want to improve their smile without making significant changes to their schedule. The rapid procedure makes it easy to fit into your routine, allowing you to achieve impressive results quickly and efficiently. The instant transformation makes Zoom whitening a highly sought-after cosmetic dentistry option.
Benefit 3 In-Office Procedure
As an in-office procedure, Zoom whitening offers the advantage of professional supervision and care. The entire treatment is administered by a trained dental professional who can monitor your progress and ensure the safety of the procedure. This professional oversight minimizes the risk of potential side effects, such as gum irritation or tooth sensitivity, which can sometimes occur with at-home treatments. The dentist can also customize the treatment based on your specific needs and desired results. This personalized approach ensures that you achieve the best possible outcome while maintaining the health of your teeth and gums. The in-office setting also provides access to advanced equipment and techniques that enhance the effectiveness of the whitening process, delivering a safe and effective treatment.
Benefit 4 Long-Lasting Results
Zoom teeth whitening provides long-lasting results, allowing you to enjoy a brighter smile for an extended period. While the duration of the whitening effect varies depending on your lifestyle and oral hygiene habits, the results typically last for several months to a few years. Maintaining your new smile involves simple steps such as avoiding stain-causing foods and drinks like coffee, tea, and red wine, and practicing excellent oral hygiene. Regular dental checkups and professional cleanings can also help to maintain the whiteness of your teeth over time. With proper care, you can extend the lifespan of your Zoom whitening results, ensuring that your smile remains bright and beautiful for as long as possible. This long-term benefit makes Zoom whitening a worthwhile investment in your dental health and appearance.
Benefit 4 Maintaining Whiteness

To ensure that your Zoom whitening results last, it is important to take proactive steps to maintain your smile. This includes regular brushing and flossing, as well as using a whitening toothpaste to gently remove surface stains. Avoiding or minimizing the consumption of stain-causing foods and drinks, such as coffee, tea, and dark-colored sodas, can significantly extend the life of your whitening treatment. Additionally, consider periodic touch-up treatments or using a take-home whitening kit recommended by your dentist. Following these simple maintenance practices helps to preserve the brightness of your teeth and keep your smile looking its best. Consistent care, combined with professional dental support, will help you maintain a radiant and confident smile for years to come. Consider a routine to preserve your bright smile.
Benefit 5 Professional Supervision
One of the critical advantages of Zoom teeth whitening is the professional supervision provided by a dentist. This ensures that the treatment is administered safely and effectively, minimizing potential risks and maximizing the desired results. A dental professional is trained to assess your oral health, identify any underlying issues, and determine if Zoom whitening is the right solution for you. They can also customize the treatment to meet your individual needs and expectations. During the procedure, the dentist monitors your progress, ensuring that your teeth are whitening evenly and that any sensitivity is managed appropriately. After the treatment, they provide guidance on how to care for your newly whitened smile and maintain the results. This professional support is critical for a positive experience and long-term oral health, making Zoom whitening a reliable and trusted option.
Benefit 5 Ensuring Safety
The safety of Zoom teeth whitening is another key benefit. The procedure is conducted by trained dental professionals who adhere to strict safety protocols. Before the treatment, your dentist will evaluate your oral health to ensure that your teeth and gums are healthy enough for whitening. They will also protect your gums and soft tissues during the procedure, minimizing the risk of irritation. The whitening gel used in Zoom is carefully formulated and applied under controlled conditions to prevent any potential harm to your enamel or overall oral health. The professional setting allows for quick intervention in case of any unexpected reactions, ensuring that any potential issues are addressed immediately. The emphasis on safety makes Zoom whitening a trusted and reliable option for achieving a brighter smile without compromising your dental well-being. Choosing this procedure is a safe way to get that perfect smile.
In conclusion, Zoom teeth whitening offers many advantages, including a boost in confidence and self-esteem, effective stain removal, and a fast, convenient process. With professional supervision, long-lasting results, and an emphasis on safety, Zoom whitening is an excellent choice for achieving a radiant, dazzling smile. If you’re considering a smile transformation, consult with your dentist to explore the potential of Zoom teeth whitening. Embrace the opportunity to reveal a brighter, more confident you, ready to take on the world with a stunning smile. The benefits of Zoom teeth whitening can change your life.
