Understanding Syracuse Teeth Whitening
Syracuse teeth whitening is a popular cosmetic dentistry procedure designed to lighten the shade of your teeth and improve your smile’s appearance. Whether you’re looking to reverse years of staining or simply want a brighter, more confident smile, teeth whitening offers a viable solution. It’s essential to understand the process, the various options available, and what to expect before you begin. In Syracuse, as in any other city, several factors influence the success and longevity of your teeth whitening treatment. Consulting with a qualified dental professional in Syracuse is the first and most crucial step to achieving the desired results. The professional can assess your specific needs, evaluate the condition of your teeth and gums, and recommend the most suitable teeth whitening method for you. This initial consultation sets the foundation for a successful and satisfying teeth whitening experience.
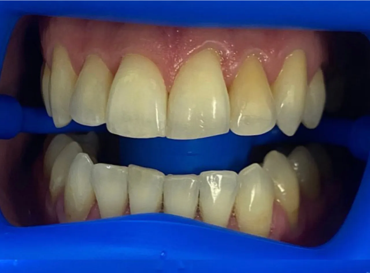
What Causes Tooth Discoloration?
Tooth discoloration can occur due to a multitude of factors, impacting the natural white appearance of your teeth. Understanding these causes is essential for effective prevention and treatment. The primary culprits include the accumulation of stains from various foods and beverages, the natural aging process, and certain lifestyle choices. Additionally, internal factors such as dental trauma or the use of certain medications can also contribute to discoloration. Proper oral hygiene is critical in minimizing staining. Brushing and flossing regularly remove surface stains, while professional dental cleanings can eliminate deeper stains and plaque buildup. Recognizing and addressing these underlying causes will help you maintain a brighter and healthier smile.
Diet and Lifestyle Factors

Your diet and lifestyle play a significant role in the color of your teeth. Consuming certain foods and beverages can stain teeth over time, while habits like smoking further exacerbate the issue. Making conscious choices about what you eat and drink, as well as avoiding harmful habits, can help you maintain a whiter smile. A balanced diet with limited exposure to staining substances is essential. Implementing lifestyle changes, such as quitting smoking or reducing the intake of staining substances, can make a substantial difference in preventing tooth discoloration and enhancing your teeth whitening results. Being mindful of these factors is key to enjoying a brighter and healthier smile.
Common Staining Foods and Drinks
Several foods and drinks are notorious for staining teeth. Coffee, tea, and red wine are among the most common culprits, known for their dark pigments that easily adhere to the enamel surface. Additionally, deeply colored fruits like berries, as well as certain sauces and spices, such as soy sauce and turmeric, can also contribute to discoloration. While it is difficult to completely eliminate these items from your diet, moderation and awareness are key. Immediately after consuming these items, rinsing your mouth with water or brushing your teeth can help minimize the staining effect. Making informed dietary choices, coupled with a diligent oral hygiene routine, can make a significant difference in maintaining a bright, white smile.
Smoking and Tobacco Use
Smoking and the use of tobacco products are detrimental to your oral health and are major contributors to tooth discoloration. The nicotine and tar in tobacco stain teeth, causing them to turn yellow and, over time, brown. Beyond the cosmetic issues, smoking can also lead to other serious dental problems, including gum disease, tooth loss, and an increased risk of oral cancer. Quitting smoking is one of the best things you can do for your overall health, including the health and appearance of your teeth. If you are a smoker considering teeth whitening, it is crucial to discuss it with your dentist. They can advise you on how to approach the process and suggest strategies to reduce the risk of further staining.
Syracuse Teeth Whitening Options

Syracuse residents have several options to consider when it comes to teeth whitening, each with its own set of benefits and considerations. These range from professional treatments administered by dentists to over-the-counter products available at pharmacies. The best option for you will depend on your specific needs, the severity of your staining, and your budget. A thorough consultation with a Syracuse dentist will help you determine the most effective and appropriate approach for achieving your desired results. Understanding the range of options available empowers you to make informed decisions and select a method that best suits your needs and preferences.
Professional In-Office Whitening
Professional in-office teeth whitening in Syracuse offers the most effective and immediate results. This procedure is performed by a dentist and involves the application of a high-concentration whitening agent to the teeth. The dentist may also use a special light or laser to enhance the whitening process. This method typically yields noticeable results in a single visit, making it a convenient option for those seeking a quick and dramatic improvement in their smile. In-office whitening provides superior results compared to over-the-counter options. Because the process is controlled by a dental professional, the risks of sensitivity or gum irritation are minimized. Consulting a Syracuse dentist for in-office whitening ensures a safe and effective experience, tailored to your specific needs and goals.
How Does In-Office Whitening Work?
The in-office teeth whitening process begins with the dentist protecting your gums and lips. Then, a high-concentration bleaching agent is applied to the teeth. This agent typically contains hydrogen peroxide. A special light or laser may be used to activate and enhance the whitening process, accelerating the breakdown of stains. The entire procedure usually takes about an hour, and you can typically see a significant improvement in the color of your teeth immediately. The dentist will monitor the process to ensure your comfort and safety, making it a reliable and efficient way to achieve a brighter smile in Syracuse.
Benefits of Professional Whitening

Professional teeth whitening offers several advantages over over-the-counter products. One of the primary benefits is the expertise and supervision of a dental professional, ensuring safety and minimizing the risk of side effects like gum irritation. Dentists use stronger whitening agents than those available over the counter, yielding more dramatic and consistent results. Moreover, dentists can tailor the treatment to your specific needs and provide personalized advice on post-whitening care. Professional whitening is more effective at treating stubborn stains and can deliver results in a single visit. This provides convenience and confidence. The combination of safety, effectiveness, and professional guidance makes in-office whitening an excellent option for achieving a dazzling smile.
Over-the-Counter Whitening Products
Over-the-counter (OTC) teeth whitening products provide a convenient and often more affordable alternative to professional treatments. Available at most drugstores, these products include whitening toothpastes, strips, and gels. While OTC products can provide some level of whitening, the results are typically less dramatic and take longer to achieve than with professional treatments. It’s important to follow the instructions carefully and be mindful of potential side effects like tooth sensitivity. Before using any OTC whitening product, consult with your dentist to ensure it’s appropriate for your specific situation and to understand the potential risks. Over-the-counter products can serve as a good starting point for maintaining a brighter smile.
Whitening Toothpastes and Rinses
Whitening toothpastes and rinses are the most accessible OTC teeth whitening options. They generally contain mild abrasives or chemical agents that help remove surface stains, making them a good choice for daily maintenance. However, they are less effective at penetrating deeper stains. Whitening toothpastes can help brighten your teeth slightly, but don’t dramatically change their color. It is essential to select toothpastes and rinses that are certified by dental associations. These products offer a convenient way to maintain a bright smile as part of your daily oral hygiene routine, but they should not be considered a substitute for professional treatments.
Whitening Strips and Gels

Whitening strips and gels are more potent OTC products than toothpastes and rinses. These products contain a higher concentration of bleaching agents, often hydrogen peroxide, that penetrate the enamel to lighten the teeth. Whitening strips are easy to use, typically involving applying the strips to your teeth for a specified amount of time each day. Gels are applied using a tray that you wear over your teeth. Results can vary based on the product and the individual. Always follow the manufacturer’s instructions closely to minimize potential side effects, such as tooth sensitivity or gum irritation. For those looking for a more noticeable improvement in tooth color, these methods can be considered, but you should still consult with a dentist to ensure the products are safe.
Choosing the Right Syracuse Teeth Whitening
Choosing the right teeth whitening option in Syracuse depends on your individual needs, expectations, and budget. A thorough consultation with a dentist is crucial to help you make an informed decision. During this consultation, your dentist will assess your oral health, discuss your goals, and recommend the most suitable treatment plan. They will consider factors such as the severity of your tooth discoloration, the sensitivity of your teeth, and your lifestyle habits. Remember that results may vary. The best approach is one that balances effectiveness, safety, and cost. By working closely with your dentist, you can find the ideal solution to achieve your desired smile transformation.
Consulting with a Dentist
Consulting with a dentist is the cornerstone of a safe and effective teeth whitening experience. Your dentist can assess your oral health, identify any underlying issues, and determine if you are a suitable candidate for teeth whitening. They can also provide insights into the best treatment options based on the type and severity of your staining. Additionally, your dentist can help you understand the potential risks, such as tooth sensitivity. They will offer professional guidance on achieving and maintaining optimal results. Schedule an appointment with a Syracuse dentist to gain clarity and confidence in your decision-making process.
Evaluating Your Needs and Goals

Before committing to teeth whitening, it’s essential to evaluate your needs and goals carefully. Ask yourself what you hope to achieve with the procedure. Consider the shade of white you desire and the level of improvement you expect. Understanding your goals will help you and your dentist select the most appropriate whitening method. Assess the degree of discoloration. This will help determine the effectiveness of different whitening treatments. Additionally, factor in your budget. Teeth whitening options vary in price. Ultimately, aligning your expectations with reality ensures a satisfying outcome. This process leads to a brighter and more confident smile.
Maintaining Your Bright Smile
Maintaining your bright, white smile after teeth whitening requires a proactive approach and consistent care. The longevity of your results depends on adopting good oral hygiene habits, avoiding staining foods and drinks, and scheduling regular dental check-ups. Following your dentist’s instructions is essential for preserving your newly whitened teeth. Being diligent with your oral care routine is a crucial step for long-term results and for overall oral health. With proper care, you can enjoy a dazzling smile for years to come.
Post-Whitening Care Tips
Following your teeth whitening treatment, it’s crucial to adhere to specific post-whitening care tips. Avoid consuming staining foods and drinks, such as coffee, tea, red wine, and dark-colored berries, for the first few days. Use a gentle toothbrush and fluoride toothpaste to minimize sensitivity. Stay away from smoking. Regular dental check-ups and cleanings are important. These practices help to maintain your bright, new smile. Listen to your dentist. Following their instructions is key to preserving and protecting your investment. Be consistent with your care routine.
Preventing Future Staining

To prevent future staining and maintain your teeth’s brightness, practice consistent oral hygiene and make smart lifestyle choices. Brush your teeth twice daily and floss daily to remove food particles and plaque. Rinse your mouth with water after consuming staining foods or drinks. Consider using a straw to minimize contact between staining beverages and your teeth. Regular dental cleanings are essential for removing surface stains and preventing the buildup of plaque. Make regular dental visits to maintain a healthy, bright smile. With these habits, you can keep your teeth white and your smile radiant.
Frequently Asked Questions About Syracuse Teeth Whitening
Many individuals considering teeth whitening in Syracuse have questions about the procedure, its safety, and the expected outcomes. Addressing these frequently asked questions can provide clarity and help you make an informed decision. Understanding the common concerns of potential patients ensures that you have the knowledge and confidence to pursue teeth whitening. Consulting with your Syracuse dentist remains the best way to get personalized answers to your specific questions and to have any doubts addressed by a professional. Being well-informed is the first step toward achieving a brighter, more beautiful smile.
Is Teeth Whitening Safe?
Teeth whitening is generally safe when performed by a qualified dental professional. Your Syracuse dentist will assess your oral health before any treatment. This ensures that your teeth and gums are in good condition. The most common side effect is temporary tooth sensitivity. This typically subsides within a few days. Always follow your dentist’s instructions and use products as directed. Over-the-counter products can be safe if used properly. However, it is advisable to consult with your dentist before using these products to avoid any complications. When in doubt, always seek professional advice.
How Long Do Results Last?
The longevity of teeth whitening results varies depending on several factors, including the type of whitening treatment, your diet, and your lifestyle habits. In-office whitening typically lasts longer than over-the-counter methods. Results can last from several months to several years. Maintaining your bright smile requires diligent oral hygiene and avoiding or limiting your consumption of staining foods and drinks. Regular dental check-ups and cleanings help to maintain the results. You can also consider touch-up treatments, as needed. The more you care for your teeth, the longer the results of your teeth whitening will last. Make sure that you create habits that promote a healthy, bright smile.
Is Teeth Whitening Right for Me?
Teeth whitening is a great option for many individuals seeking a brighter smile, but it is not suitable for everyone. Ideal candidates have healthy teeth and gums and are seeking to improve the appearance of their smile by removing stains. Individuals with dental restorations, such as fillings, crowns, or veneers, should know that whitening treatments do not whiten these materials. Your dentist can assess your specific oral health situation and determine if you are a good candidate. If you have any underlying dental issues, such as cavities or gum disease, those issues should be addressed before teeth whitening. If you have realistic expectations and are prepared to maintain your results, teeth whitening can be a rewarding cosmetic procedure.
