Understanding Teeth Whitening in Hastings
Teeth whitening has become a popular cosmetic procedure, with many individuals in Hastings seeking brighter, more confident smiles. This comprehensive guide explores the various aspects of teeth whitening, providing valuable information to help you make informed decisions. From understanding the different treatment options available to choosing a qualified dentist in Hastings, this guide covers everything you need to know about achieving a dazzling smile. Whether you’re considering professional treatments or at-home solutions, this guide will help you navigate the world of teeth whitening and achieve the results you desire. Remember that consulting with a dental professional is always recommended to determine the best approach for your specific needs and oral health condition. The goal is to empower you with knowledge, allowing you to make the best choices for a radiant, healthy smile. (Image teeth-whitening-hastings-1.webp)
What is Teeth Whitening?
Teeth whitening, also known as teeth bleaching, is a cosmetic dental procedure designed to lighten the shade of your teeth. It involves removing stains and discoloration, resulting in a brighter, more youthful appearance. The process typically uses bleaching agents, such as hydrogen peroxide or carbamide peroxide, to penetrate the enamel and dentin, breaking down stain molecules. Teeth whitening can effectively address discoloration caused by various factors, including aging, genetics, and lifestyle habits. It is a non-invasive and relatively quick procedure that can significantly enhance your smile. The effectiveness of teeth whitening can vary depending on the type of stains and the treatment method used. Always consult with a dentist to determine the most suitable whitening approach for your specific needs and expectations. The process itself is designed to boost your confidence and enhance your overall appearance. A beautiful, bright smile can make a significant difference in both your personal and professional life.
Types of Teeth Whitening Treatments Available

In Hastings, you have several options for teeth whitening, each offering different levels of convenience, cost, and effectiveness. Understanding these options is crucial to making an informed decision. The treatments range from professional procedures performed by dentists to at-home kits and over-the-counter products. The choice ultimately depends on your individual needs, the severity of the discoloration, and your budget. It’s important to remember that while some options offer immediate results, others require more time and patience. Consulting with a dental professional can help you determine which option aligns best with your goals and ensures the safety and health of your teeth and gums. Consider all available choices, weighing the pros and cons of each to arrive at the best solution for you. (Image professional-teeth-whitening.webp)
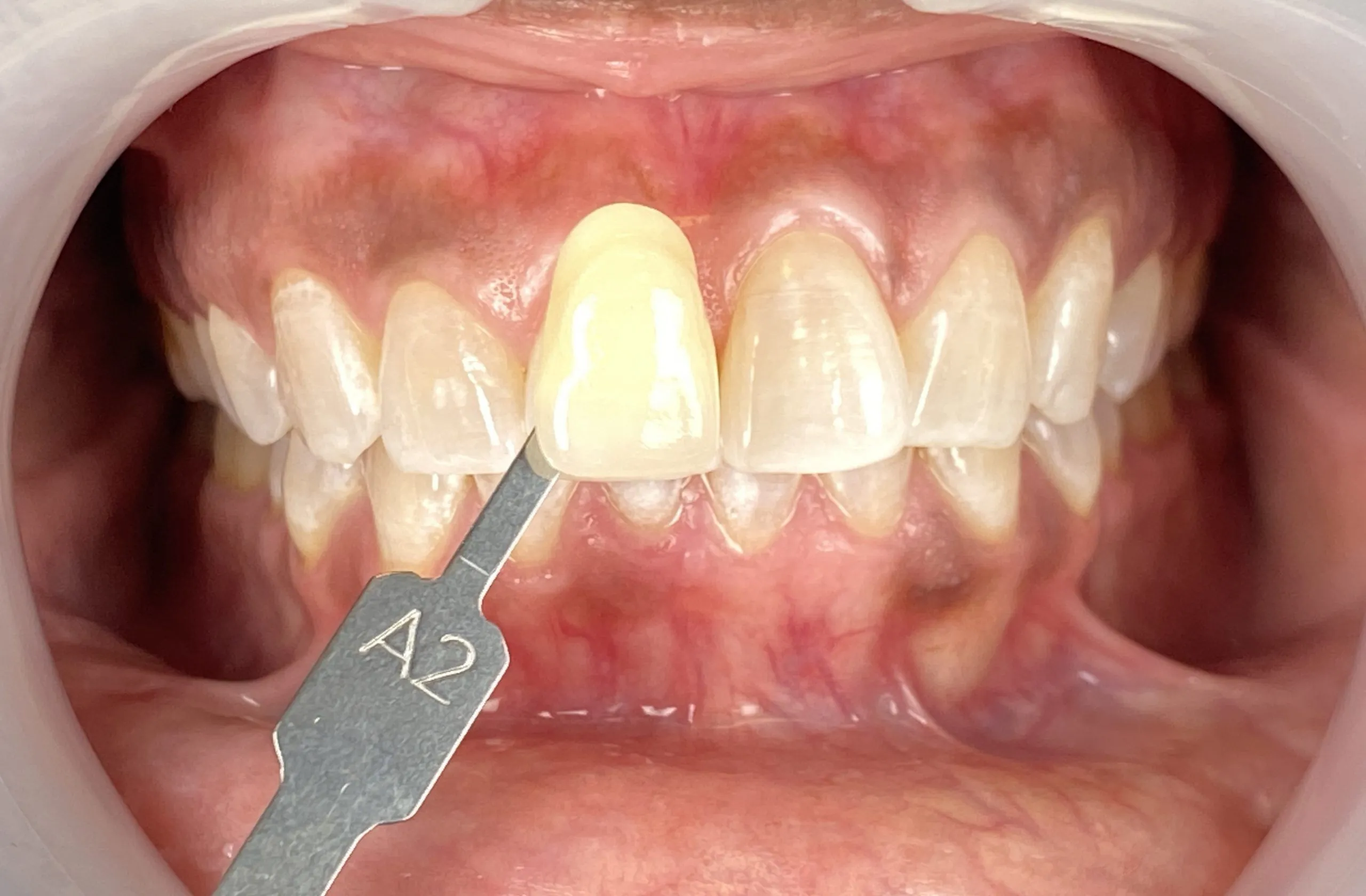
Professional Teeth Whitening
Professional teeth whitening, performed by a dentist in Hastings, offers the most effective and controlled results. This method utilizes stronger bleaching agents than those found in at-home kits, allowing for significant whitening in a single session. Dentists can also take precautions to protect your gums and monitor the process to minimize sensitivity. Professional whitening is ideal for individuals seeking dramatic improvements quickly. The process typically involves applying a high-concentration bleaching gel to the teeth and activating it with a special light or laser. This process is carefully monitored by a dental professional to ensure optimal results and patient safety. (Image professional-teeth-whitening.webp)
In-Office Teeth Whitening Procedures
In-office teeth whitening in Hastings typically involves a thorough examination and cleaning of your teeth before the whitening procedure begins. A protective barrier is applied to your gums to prevent irritation from the bleaching agent. The dentist then applies a high-concentration hydrogen peroxide gel to your teeth. This gel is often activated by a special light or laser to accelerate the whitening process. The procedure usually takes about an hour, and you can see significant results immediately. This method is popular for its convenience and efficiency. The dentist will guide you through the aftercare process to maintain the results. This is a fast and effective way to achieve a brighter smile. A follow-up visit may be scheduled to assess the results and provide any necessary touch-ups.
At-Home Teeth Whitening Kits

At-home teeth whitening kits offer a more convenient and cost-effective option for teeth whitening in Hastings. These kits typically include custom-fitted trays and a lower concentration of bleaching gel. Your dentist may create custom trays for a perfect fit, ensuring the bleaching agent covers all surfaces evenly. The process usually involves wearing the trays with the gel for a specified amount of time each day or night, as directed by your dentist. While at-home kits take longer to produce results than in-office treatments, they can still provide noticeable improvements over several weeks. Consistency is key for optimal results. These kits are a practical choice for maintaining your smile between professional treatments. Always follow the instructions provided by your dentist or the manufacturer to ensure safe and effective use. (Image at-home-teeth-whitening.webp)
Over-the-Counter Whitening Products
Over-the-counter (OTC) teeth whitening products, such as whitening strips and toothpastes, are readily available in Hastings pharmacies and supermarkets. These products are generally less expensive and easier to access than professional treatments. However, they often contain lower concentrations of bleaching agents, so the results may be less dramatic and take longer to achieve. Whitening strips are a popular choice, as they are easy to use and can be applied directly to the teeth. Whitening toothpastes can help remove surface stains, but they are generally not effective for deeper discoloration. Before using OTC products, it is essential to read the instructions carefully. They might not be suitable for everyone, particularly those with sensitive teeth or existing dental work. Consult with your dentist to determine if these are right for you. (Image at-home-teeth-whitening.webp)
Choosing the Right Treatment
Choosing the right teeth whitening treatment depends on your individual needs and preferences. Consider the severity of your discoloration, your budget, and the amount of time you are willing to commit to the process. Professional whitening offers the fastest and most effective results, but it is also the most expensive. At-home kits provide a more affordable and convenient alternative, but they require more time and commitment. Over-the-counter products are the least expensive, but the results are often less significant. Always consult with your dentist to determine the best option for your specific situation. Your dentist can assess your oral health, discuss your goals, and recommend the most suitable treatment. Consider factors such as your sensitivity, the type of stains, and any existing dental work. Make an informed decision that considers your oral health and aesthetic goals. The choice is personal and should be made in consultation with a dental professional.
Finding a Qualified Dentist in Hastings

Finding a qualified and experienced dentist in Hastings is crucial for achieving safe and effective teeth whitening results. A good dentist will not only perform the whitening procedure but also assess your oral health, address any underlying dental issues, and provide personalized advice. Choosing the right dentist can significantly impact your overall experience and the outcome of your teeth whitening treatment. Take the time to research and choose a dentist who you trust and who aligns with your needs and expectations. Consider factors such as their qualifications, experience, and the services they offer. A good dentist will always prioritize your oral health and provide you with the best possible care. (Image choosing-a-dentist.webp)
Tips for Choosing a Dentist
When choosing a dentist in Hastings for teeth whitening, consider several factors to ensure you receive quality care. Look for a dentist with extensive experience in cosmetic dentistry. Read online reviews and testimonials from previous patients. Ask for recommendations from friends, family, or colleagues. Make sure the dentist uses high-quality materials and follows proper sterilization procedures. Schedule a consultation to meet the dentist and discuss your goals and concerns. Ensure they take the time to explain the procedure, answer your questions, and address any concerns you may have. Choose a dentist with whom you feel comfortable and confident. This will help you feel more relaxed during your treatments. Ensure that the practice has a friendly and welcoming environment. The right dentist can guide you through the entire process, from initial consultation to aftercare, ensuring a positive and successful experience.
Checking Credentials and Reviews
Before committing to a teeth whitening treatment, verify the dentist’s credentials. Ensure they are licensed and registered to practice in Hastings. Check their educational background and any certifications in cosmetic dentistry. Read online reviews and testimonials to gauge other patients’ experiences. Look for reviews that highlight the dentist’s professionalism, expertise, and patient care. Check the dentist’s website or social media profiles for before-and-after photos of their teeth whitening procedures. This can give you an idea of the results you can expect. Check their rating on platforms like Google Reviews, Yelp, or other reputable review sites. Ensure the dentist and the practice maintain a high standard of care and patient satisfaction. Choose a dentist with a proven track record of successful teeth whitening treatments. This research helps ensure you receive the best possible care and results.
Cost of Teeth Whitening in Hastings

The cost of teeth whitening in Hastings varies depending on the type of treatment you choose. Professional in-office whitening is generally the most expensive option, while at-home kits and over-the-counter products are more affordable. The price also depends on the dentist’s fees, the materials used, and the complexity of the procedure. Before undergoing any teeth whitening treatment, it’s essential to discuss the cost with your dentist. Ask for a detailed breakdown of the fees and any additional charges. Some dental practices offer payment plans or financing options to make treatments more accessible. Consider the long-term value of teeth whitening and the boost in confidence it can provide. Make sure to compare prices and services from different dentists in Hastings to find the best value for your needs. (Image teeth-whitening-cost.webp)
Factors Influencing the Cost
Several factors influence the cost of teeth whitening in Hastings. The type of treatment you choose is a significant factor. In-office whitening involves more time, materials, and expertise. The dentist’s fees vary depending on their experience, reputation, and the location of their practice. The materials used, such as the bleaching agent and the equipment, also contribute to the cost. Additional services, such as teeth cleaning or X-rays, may add to the overall expense. The extent of your discoloration and the number of treatments required can also affect the price. Consider the ongoing maintenance costs, such as touch-up treatments, to keep your smile bright. Discuss all potential costs with your dentist before beginning any procedure. This can help you budget accordingly and avoid unexpected expenses.
Payment Options and Insurance
Most dental insurance plans do not cover cosmetic procedures like teeth whitening. However, it’s always a good idea to check with your insurance provider to confirm your coverage. Some dentists in Hastings offer payment plans to make teeth whitening more affordable. These plans can allow you to spread the cost over several months. Financing options, such as credit cards with special interest rates, may also be available. Discuss these options with your dentist. Some dental practices offer discounts or promotions on teeth whitening. Be sure to inquire about any special offers. Explore all available payment options to determine what works best for your budget. Always clarify the payment terms and conditions before starting any treatment.
Aftercare and Maintenance for Whitened Teeth

Aftercare and maintenance are crucial for preserving the results of your teeth whitening treatment. Following your dentist’s instructions can help you maintain your brighter smile for an extended period. This involves avoiding foods and drinks that can stain your teeth, practicing good oral hygiene, and attending regular dental check-ups. With proper care, you can enjoy the benefits of your teeth whitening treatment for years to come. Maintaining your results requires a commitment to good oral hygiene and mindful dietary choices. Your dentist will provide guidance on maintaining your bright smile. This includes recommendations tailored to your specific needs. (Image whitening-aftercare.webp)
Maintaining a Bright Smile
To maintain your bright smile, brush your teeth twice a day with a whitening toothpaste. Floss daily to remove plaque and food particles. Consider using a mouthwash that helps to prevent staining. Avoid smoking, as it can stain your teeth and diminish the effects of whitening. If you consume staining foods or drinks, rinse your mouth with water immediately afterward. Use a straw when drinking staining beverages. Schedule regular dental check-ups and professional cleanings every six months. Your dentist may recommend touch-up whitening treatments to maintain your results. Proper maintenance is critical for long-term results and a healthy smile. Following these steps will help to keep your teeth looking their best for longer.
Foods and Drinks to Avoid
Certain foods and drinks can stain your teeth, reducing the effectiveness of your teeth whitening treatment. To maintain your bright smile, minimize your intake of these items. Coffee and tea are notorious for staining teeth. Red wine contains tannins that can cause discoloration. Dark-colored sodas can also stain your teeth. Beets, berries, and other brightly colored fruits can leave stains. Tomato sauce and curry can also contribute to staining. If you consume these foods or drinks, brush your teeth or rinse your mouth with water afterward. Using a straw can reduce the contact of staining beverages with your teeth. Avoiding or limiting these items can help to preserve your teeth whitening results. (Image avoid-staining-foods.webp)
Regular Dental Check-ups

Regular dental check-ups are essential for maintaining a healthy and bright smile. During your check-up, your dentist will examine your teeth and gums for any signs of problems. They will also professionally clean your teeth, removing plaque and tartar that can cause stains. Regular check-ups allow your dentist to monitor your teeth whitening results and address any issues promptly. They can also recommend touch-up treatments to maintain your bright smile. Schedule check-ups every six months. This also involves a discussion of your oral hygiene habits and any concerns you may have. Early detection and treatment of dental problems can help prevent further complications. This helps to maintain not only the aesthetics but also the overall health of your teeth and gums. (Image regular-dental-checkups.webp)
Potential Risks and Side Effects of Teeth Whitening
While teeth whitening is generally safe, there are potential risks and side effects. These are usually temporary and manageable. Understanding these risks can help you make an informed decision and take appropriate precautions. Always discuss any concerns you have with your dentist before undergoing treatment. Your dentist can assess your oral health and recommend the most suitable whitening approach for your needs. This will help to minimize any risks and ensure you achieve the desired results. Although the risks are generally minor, knowing about them helps in making an informed decision. Make sure to follow your dentist’s instructions carefully to minimize risks and achieve the best possible results. (Image professional-teeth-whitening.webp)
Sensitivity and Irritation
Teeth sensitivity is a common side effect of teeth whitening, often experienced during and after the treatment. This is usually temporary and subsides within a few days. Using toothpaste designed for sensitive teeth can help alleviate discomfort. Avoid extremely hot or cold foods and drinks. Some people may experience gum irritation or inflammation from the bleaching agent. Your dentist can provide a protective barrier to minimize this. If you experience any severe or persistent side effects, contact your dentist immediately. Sensitivity and irritation are common, but these should be temporary. Proper care and precautions can help to reduce these side effects and ensure your comfort.
Gum Irritation

Gum irritation can occur due to contact with the bleaching agent. Dentists take precautions to protect the gums during professional treatments. At-home kits require careful application to avoid contact with the gums. Over-the-counter products may also cause irritation if not used properly. Symptoms can include redness, swelling, and tenderness. If you experience gum irritation, discontinue use and consult your dentist. They can assess the situation and provide appropriate treatment. Proper application and adherence to the instructions can help minimize irritation. Always follow your dentist’s or the product’s instructions. Any side effects should be promptly addressed by your dentist.
Is Teeth Whitening Right for You?
Teeth whitening is an excellent option for many individuals seeking a brighter smile. However, it’s not suitable for everyone. Consult with your dentist to determine if you are a good candidate. They will assess your oral health and discuss your goals and expectations. Teeth whitening is most effective for removing stains caused by aging, genetics, and lifestyle habits. It may not be as effective on certain types of stains or dental work. If you have any existing dental issues, such as cavities or gum disease, these must be addressed before whitening. This will ensure the safety and effectiveness of the treatment. If you have sensitive teeth, your dentist may recommend alternative treatments or strategies to minimize discomfort. Making an informed decision involves considering your oral health, your aesthetic goals, and the potential risks and benefits. If you’re looking for a brighter, more confident smile, teeth whitening could be the perfect solution for you. Always consult with your dentist to discuss your options and create a treatment plan tailored to your individual needs and preferences.
