What Causes White Gums After Whitening Strips
Experiencing white gums after using teeth whitening strips can be alarming, but it’s often a temporary issue. Several factors can contribute to this phenomenon, and understanding these causes is the first step toward addressing the problem. The whitening agents in these strips, primarily hydrogen peroxide, are designed to penetrate the enamel and break down stains. However, they can also affect the soft tissues of your mouth if not used carefully. This guide explores the common causes, from chemical burns to allergic reactions, and provides insights into how to manage and prevent this side effect. Understanding these underlying reasons will help you take the appropriate steps to safeguard your oral health while still achieving a brighter smile.
Chemical Burns From Whitening Agents
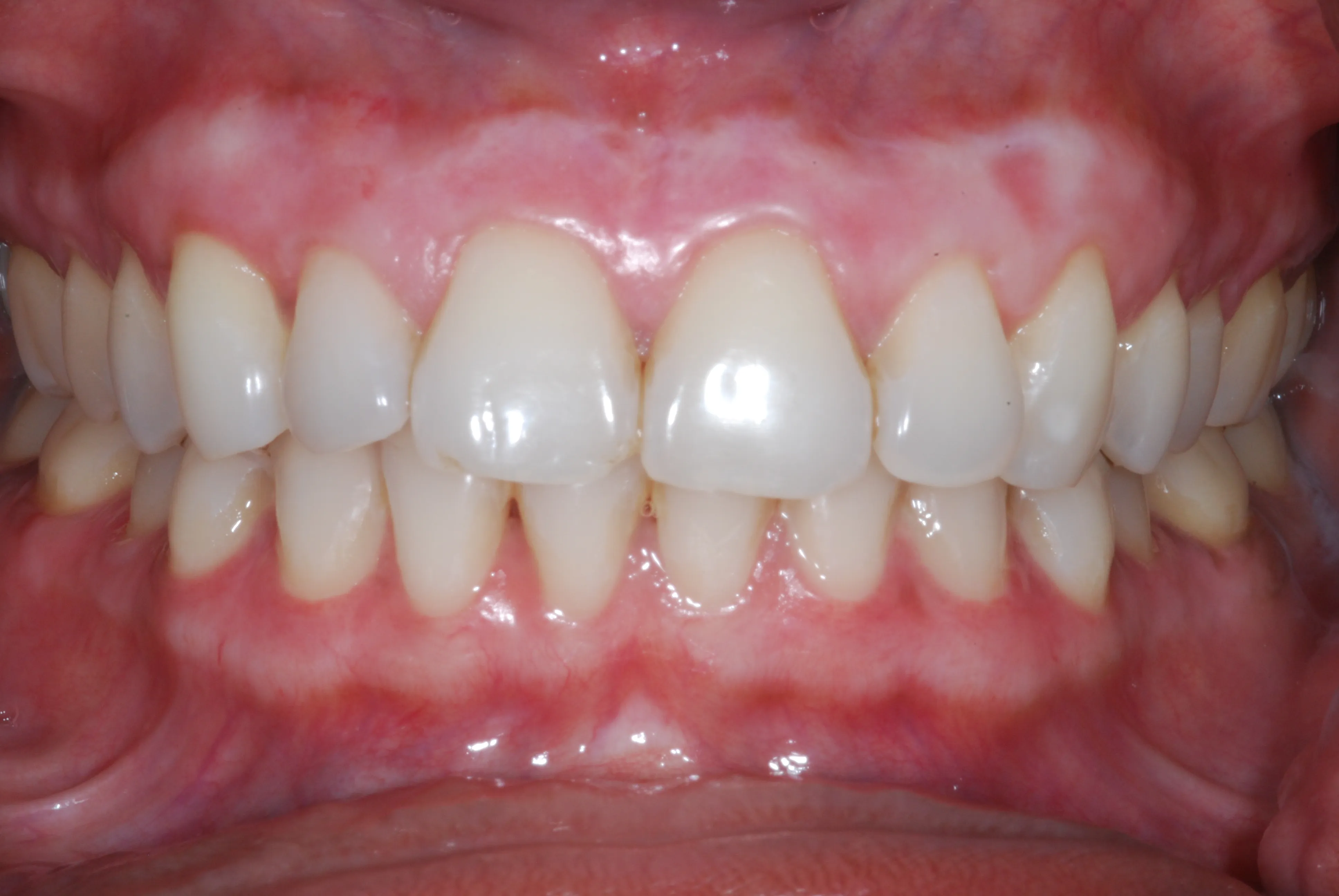
The active ingredient in most whitening strips is hydrogen peroxide, a powerful bleaching agent. While effective at whitening teeth, it can also cause chemical burns on the gums. These burns occur when the peroxide comes into direct contact with the soft tissues of the mouth for an extended period. The severity of the burn can vary, from mild irritation and temporary whitening to more severe cases involving blistering and pain. The concentration of hydrogen peroxide in the strips plays a significant role; higher concentrations increase the risk of burns. Also, the duration of application and the way the strips are applied influence the likelihood of experiencing this issue. Chemical burns are a common reason for white gums after whitening strips.
How Whitening Strips Work

Whitening strips work by using hydrogen peroxide to penetrate the enamel of your teeth. The peroxide molecules break down the stain-causing compounds, making your teeth appear whiter. The strips are designed to stick to the teeth, ensuring prolonged contact with the whitening agent. This process can be effective, but it also increases the exposure of your gums to the chemicals. When used correctly, the strips should primarily target the teeth, but some contact with the gums is inevitable. However, if the strip overlaps the gums or is used incorrectly, the risk of irritation and chemical burns dramatically increases. This process is also important to know the role of saliva and the protective nature of the mouth.
The Role of Hydrogen Peroxide
Hydrogen peroxide is the active ingredient behind the whitening effect. It’s a strong oxidizing agent that breaks down stains. The concentration of hydrogen peroxide in the whitening strips varies, with higher concentrations often leading to quicker results. However, this also increases the potential for side effects, such as gum irritation and white gums. The product is designed to be safe when used as directed, but the sensitivity of each person’s gums and the method of application play key roles. Overexposure can cause the gums to turn white, indicating damage to the superficial tissues. The understanding of hydrogen peroxide’s strength is key in understanding the process.
Irritation and Inflammation
Even without a full-blown chemical burn, the whitening agents in strips can cause irritation and inflammation of the gums. This is especially common if you have sensitive gums or if the strips are not applied correctly. The inflammation can lead to the gums turning white, appearing swollen, and feeling tender or painful. This is a defense mechanism, the body’s response to protect against the irritant. Repeated or prolonged exposure to the whitening agents can exacerbate the inflammation, causing more noticeable changes in gum color and texture. The effects can range from mild discomfort to significant pain, depending on individual sensitivity and the intensity of the whitening treatment.
Allergic Reactions and Sensitivity

Some individuals may experience allergic reactions or increased sensitivity to the ingredients in whitening strips. These reactions can manifest as white patches on the gums, along with other symptoms like swelling, itching, or blistering. Allergic reactions occur when the immune system identifies a substance as harmful and launches a response. This can lead to localized inflammation and changes in gum appearance. If you suspect you have an allergic reaction, it’s crucial to stop using the strips immediately and consult a dentist or healthcare professional. The sensitivity levels to such agents vary widely. Identifying the trigger is important to avoid future adverse effects and ensure proper oral care.
Common Symptoms of Allergic Reactions
Symptoms of an allergic reaction to whitening strips can vary in severity. Besides white gums, you might experience redness, swelling, itching, and a burning sensation in the mouth. Blisters or ulcers can also develop in severe cases. Some individuals may experience a metallic taste or changes in the texture of their gums. Systemic symptoms, though less common, may include hives or difficulty breathing. If you experience any of these signs after using whitening strips, discontinue use and seek medical advice. Recognizing the symptoms is vital for managing and preventing further complications. If you experience any of these, consult with a dentist or other medical professional.
Misuse of Whitening Strips
Misuse of whitening strips is a significant contributor to white gums and other oral health issues. Following the instructions provided with the strips is important. Deviations from the recommended usage can increase the risk of adverse effects. Overusing whitening strips is a common mistake. Applying them more frequently or for longer periods than advised can lead to significant gum irritation and chemical burns. Using strips on damaged or sensitive gums can further exacerbate the problem. Understanding and adhering to the correct usage guidelines will ensure you achieve the desired whitening results while minimizing the risk of side effects.
Improper Application Techniques

Improper application techniques can directly contribute to the development of white gums. Overlapping the strips onto the gums is a common error, exposing the soft tissues to the whitening agents. Also, not properly ensuring the strips are only applied to the teeth is important. The strips need to be applied correctly to maximize their effectiveness while minimizing the chance of adverse effects. Applying them carelessly or using them with a poor fit can lead to uneven whitening and increased contact with the gums. Taking your time and following the application instructions provided with the whitening strips can help reduce this risk and promote better oral health. This may also involve using a mirror and good lighting.
Overuse of Strips
Overuse is a frequent cause of gum irritation and white gums. Whitening strips are designed for a specific treatment duration and frequency. Using them too often or for extended periods can overwhelm the gums. The repeated exposure to hydrogen peroxide can damage the gum tissues, leading to whitening and inflammation. Following the recommended treatment schedule is essential. If you desire a brighter smile, it’s better to space out treatments and consult with a dentist about alternative methods. Overuse can also make your teeth more sensitive and can potentially cause long-term damage. Knowing the product’s limitations will help to better care for your teeth.
The Protective Role of Saliva
Saliva plays a crucial role in protecting your gums from the harmful effects of whitening strips. Saliva contains several components that help neutralize acids and dilute irritating substances, reducing the likelihood of chemical burns and inflammation. Saliva continuously washes away any irritants. This natural defense mechanism helps to maintain a healthy oral environment. However, when using whitening strips, the saliva’s protective effects can be compromised if the strips are not applied correctly or if the exposure time is too long. Understanding the function of saliva reinforces the importance of using whitening strips correctly to protect your gums from damage.
How Saliva Neutralizes Acids

Saliva contains bicarbonate and phosphate, which act as buffers to neutralize acids in the mouth. When hydrogen peroxide from whitening strips comes into contact with your gums, it can cause the pH level to drop, making the environment more acidic. Saliva’s buffering capacity helps to restore the pH balance, reducing the impact of the peroxide on the gum tissues. This protective mechanism works best when the mouth is hydrated and producing an adequate amount of saliva. If you have dry mouth, you may be more susceptible to gum irritation. Staying hydrated and using products that stimulate saliva production can enhance this natural defense.
Maintaining Oral Health
Maintaining good oral health is important when using teeth whitening strips. Proper oral hygiene helps to minimize the risk of gum irritation and other side effects. Brushing and flossing regularly, combined with the use of fluoride toothpaste, support healthy gums and teeth. These practices help protect against the adverse effects of the whitening agents. A comprehensive approach to oral care not only improves the results of the whitening treatment but also safeguards your overall oral health. It is a balance between whitening and maintaining good oral health to ensure the best outcomes.
Proper Brushing and Flossing Techniques
Proper brushing and flossing are essential for maintaining healthy gums and teeth. Brushing at least twice a day with a soft-bristled toothbrush removes plaque and food particles. Flossing once a day helps to clean between teeth and along the gumline, areas that brushing often misses. When using whitening strips, make sure to brush gently to avoid irritating the gums. Flossing should be done carefully to prevent gum damage, especially after using whitening strips. These techniques are essential to remove plaque and food debris and help to keep your mouth in good condition. In addition, it helps with the overall health and effectiveness of your teeth whitening.
Using Fluoride Toothpaste

Using fluoride toothpaste is recommended for maintaining oral health while using whitening strips. Fluoride strengthens the enamel of your teeth, making them less susceptible to sensitivity and damage from the whitening agents. It also helps to protect against cavities, further promoting healthy teeth. Fluoride toothpaste helps to remineralize your teeth, which can be particularly helpful after using whitening strips. Use a fluoride toothpaste to protect against sensitivity and help improve your overall oral health. This will reduce the risk of other oral conditions. This should be a part of your daily dental hygiene routine.
Seeking Professional Dental Advice
Seeking professional dental advice is critical when experiencing white gums or other side effects from whitening strips. A dentist can assess the condition of your gums and teeth. They can also provide personalized recommendations and guidance to prevent further damage. Regular dental check-ups help to identify potential problems early and address them promptly. Also, dentists can advise on the correct use of whitening strips and other whitening treatments. If you experience white gums after using whitening strips, the dentist will suggest a solution that fits your needs.
When to Consult a Dentist
It’s important to consult a dentist if you experience persistent white gums, severe pain, or any other unusual symptoms after using whitening strips. If the white patches do not disappear within a few days, it indicates a possible chemical burn or other significant problem. A dentist can properly diagnose the issue and suggest treatment options. You should also seek dental advice if you have a history of sensitive gums or other oral health issues. A dentist can advise if whitening strips are suitable for you and the correct way to use them. Don’t hesitate to seek help when you’re in doubt.
Treatment Options for White Gums

The treatment options for white gums depend on the underlying cause and the severity of the issue. If the white patches are the result of a mild chemical burn, the gums will often heal on their own within a few days. You can use warm saltwater rinses to promote healing. In more severe cases, a dentist may recommend topical treatments or prescribe medication to reduce inflammation and speed up recovery. It is important to avoid further irritation and follow your dentist’s instructions carefully. It may also involve a change in teeth whitening treatment or the introduction of a new, gentler method. The dentist will advise on what the best treatment option is.
Preventing White Gums From Whitening Strips
Preventing white gums involves using whitening strips correctly and taking preventive measures to protect your gums. Always follow the instructions provided with the product. Apply the strips carefully to ensure they only cover your teeth and avoid contact with your gums. You can trim the strips to fit better if needed. Avoid using whitening strips if you have sensitive gums or any existing oral health problems. If you experience any discomfort or irritation during the treatment, stop using the strips and consult your dentist. Proper care and maintenance are essential.
