The Best Teeth Whitening UK Options Revealed
Achieving a brighter, whiter smile is a common goal for many individuals. In the UK, a variety of teeth whitening options are available, ranging from professional treatments to convenient at-home solutions. This guide explores the five best teeth whitening options available in the UK, helping you make an informed decision and choose the most suitable method for your needs and preferences. Whether you are preparing for a special occasion or simply seeking to boost your confidence, understanding these options is the first step toward a dazzling smile. The UK market offers diverse solutions, each with its own set of benefits, considerations, and outcomes. This article aims to provide a comprehensive overview, enabling you to navigate the choices effectively and achieve optimal results.
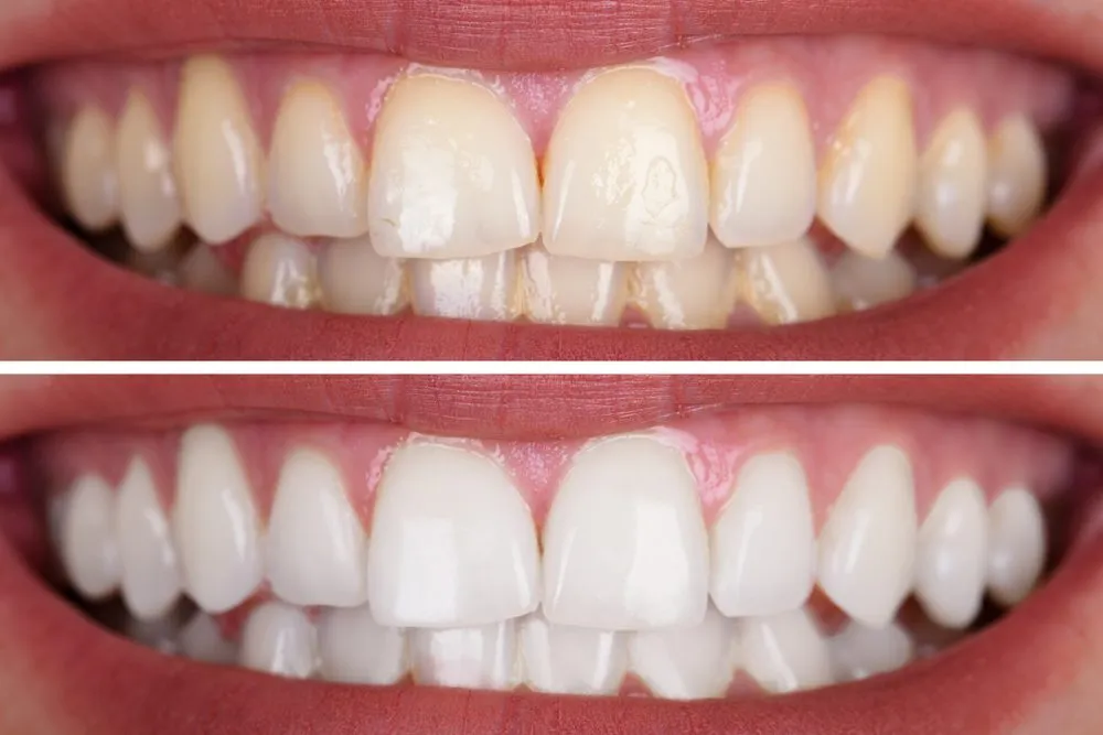
Professional Teeth Whitening
Professional teeth whitening, performed by a dentist, is often considered the most effective and reliable option. These procedures typically involve the use of high-concentration bleaching agents, which are applied to the teeth under controlled conditions. This ensures a more significant and faster whitening effect compared to over-the-counter products. Dentists can also address underlying issues, such as sensitivity or gum irritation, which can sometimes arise with at-home treatments. The advantage is the expertise of a dental professional, who can monitor the process and make necessary adjustments to ensure optimal results and safety. Professional whitening offers both in-office procedures and take-home kits administered by a dentist, providing flexibility to suit individual preferences and schedules.
In-office Whitening Procedures

In-office whitening procedures offer the fastest results. During this process, your dentist applies a strong bleaching agent to your teeth and uses a special light or laser to enhance the whitening process. The procedure usually takes about an hour and can significantly brighten your smile in a single session. This method is ideal for those seeking immediate results for special events or those who prefer the convenience of a professional setting. Furthermore, in-office treatments are customized to your needs, allowing the dentist to address any specific concerns about sensitivity or uneven whitening. This ensures the treatment is both effective and tailored to provide the best possible outcome.
Benefits of Professional Whitening
The primary benefit of professional whitening is its effectiveness. Dentists use stronger bleaching agents than those available over the counter, leading to more dramatic results. Another advantage is the safety aspect. Dentists are trained to ensure the procedure is performed correctly, minimizing the risk of side effects like gum irritation or tooth sensitivity. They can also monitor your teeth throughout the process and make necessary adjustments. Professional whitening also provides personalized treatment. Your dentist assesses your oral health, identifies any underlying issues, and customizes the treatment to your specific needs. This tailored approach ensures you get the best possible outcome while maintaining your oral health.
At-Home Teeth Whitening Kits
At-home teeth whitening kits offer a convenient and cost-effective alternative to professional treatments. These kits typically include custom-fitted trays and a bleaching gel that you apply to your teeth. The trays are designed to fit your teeth precisely, ensuring even application of the whitening agent. At-home kits are generally more affordable than professional treatments, making them accessible to a wider audience. However, they typically contain lower concentrations of bleaching agents than professional products, so the results may take longer to achieve. It is important to follow the instructions carefully to avoid any potential side effects and ensure optimal results. It is important to choose a kit from a reputable brand and consult a dentist before starting any at-home whitening treatment to ensure it is safe and appropriate for your oral health.
Whitening Strips

Whitening strips are a popular and easy-to-use at-home option. These thin, flexible strips are coated with a whitening agent and are applied directly to the teeth. They are readily available over the counter and come in various brands and formulations. Whitening strips are convenient, as they can be used anywhere and require minimal time. The effectiveness of whitening strips varies depending on the brand and the concentration of the whitening agent. Consistent use over a period of time is often required to achieve noticeable results. While generally safe, it’s essential to follow the instructions carefully and avoid overuse, as this can lead to tooth sensitivity or gum irritation. Before starting, make sure to consult your dentist to ensure they are appropriate for your oral health.
Whitening Toothpaste
Whitening toothpaste is another readily accessible option for enhancing your smile. These toothpastes contain mild abrasives or chemical agents that help remove surface stains from your teeth. They are designed for daily use and can be a convenient way to maintain your teeth’s whiteness. While whitening toothpastes can help remove surface stains, they are not as effective as professional treatments or at-home kits that use bleaching agents. However, they can be a good option for maintaining the results of other whitening methods. It is important to choose a whitening toothpaste that is gentle on your enamel to avoid any potential damage. Make sure to consult your dentist to find the best toothpaste for your needs and dental health.
Whitening Pens
Whitening pens offer a convenient and portable solution for teeth whitening. These pens contain a whitening gel that you apply directly to your teeth with a brush or applicator. They are designed for on-the-go use and are ideal for touch-ups or maintaining your smile’s brightness. Whitening pens are generally less potent than other at-home whitening methods, making them a good option for minor stains or for use between more intensive treatments. They are easy to use and can be carried in your pocket or purse for whenever you need them. However, the results may be less dramatic than other options. Always follow the instructions carefully to avoid any potential side effects and consult your dentist before use.
Considerations When Choosing a Kit

Choosing the right at-home teeth whitening kit involves considering several factors to ensure you select a product that is both effective and safe. One of the most important factors is the concentration of the whitening agent, typically hydrogen peroxide or carbamide peroxide. Higher concentrations may yield faster results, but they can also increase the risk of sensitivity. The type of application is also important; strips, trays, and pens each have different benefits and drawbacks in terms of ease of use and coverage. The quality of the kit components, such as the fit of the trays and the stability of the gel, impacts the effectiveness and comfort of the treatment. Before selecting an at-home whitening kit, it is always important to consult with your dentist. They can assess your oral health and recommend the most suitable product to match your needs and avoid potential complications.
Cost
The cost of teeth whitening kits varies widely depending on the type of product, brand, and the number of treatments included. Over-the-counter products like whitening strips and toothpaste are generally the most affordable options, making them accessible to a broader audience. At-home whitening kits, which may include custom-fitted trays and a bleaching gel, tend to be more expensive than strips and toothpaste, but they still provide a more cost-effective solution compared to professional treatments. Professional teeth whitening procedures are typically the most expensive option. However, the cost can be offset by the benefits of the expertise of dental professionals, the effectiveness of the treatments, and the longer-lasting results. Assessing your budget is crucial when choosing a teeth whitening method, along with understanding the long-term value and the level of whitening you hope to achieve.
Ingredients and Safety
Understanding the ingredients in teeth whitening products is essential for ensuring their safety and effectiveness. The primary active ingredients in whitening products are hydrogen peroxide and carbamide peroxide, which break down stains on the enamel surface. While generally safe, these chemicals can cause tooth sensitivity and gum irritation, especially if used improperly. When choosing a product, consider the concentration of the active ingredients and the potential for side effects. Look for products that are clinically tested and approved by relevant regulatory bodies, such as the FDA in the US or the CE mark in Europe, to ensure they meet safety standards. Before using any whitening product, consult with your dentist to discuss your oral health and identify any potential risks.
Reviews and Reputation

Before purchasing any teeth whitening product, it’s essential to research the brand and product by reading reviews from other consumers. Customer reviews offer valuable insights into the effectiveness, ease of use, and any potential side effects. Reputable brands often have more positive reviews and a proven track record of producing safe and effective products. Look for reviews on trusted websites, such as dental associations, online forums, and independent review sites. Pay attention to both the positive and negative comments to get a balanced view of the product’s performance. Reading reviews can help you to make informed decisions and choose a product that meets your expectations and helps you achieve the desired results. Always remember to consult with your dentist to ensure any chosen product is suitable for your oral health and goals.
Teeth Whitening Alternatives
Besides whitening treatments, several alternatives can improve the appearance of your teeth. These include professional cleaning, which removes surface stains caused by food, beverages, and smoking, and can brighten your smile. Lifestyle adjustments, such as reducing consumption of staining foods and drinks, such as coffee, tea, and red wine, can also help prevent discoloration. Over-the-counter options, such as whitening toothpaste and mouthwashes, can assist in removing surface stains and maintaining whiteness. These methods offer a range of approaches to achieve a brighter smile. However, the best results often come from a combination of these options, tailored to your specific needs and preferences. Consulting with your dentist is important to determine which alternatives are most suitable for you.
Teeth Whitening by Dentist
Teeth whitening performed by a dentist is often the most effective and safest option. Dentists have access to professional-strength whitening agents, which can achieve significant results. They also have the expertise to perform the procedure safely, minimizing the risk of tooth sensitivity or gum irritation. A dentist can assess your oral health, identify any underlying issues, and customize the whitening treatment to your specific needs. They can also provide guidance and advice on maintaining your results. While professional whitening can be more expensive than at-home methods, the benefits of achieving a brighter smile safely and effectively are significant. Consider a consultation with your dentist to discuss the best options for your teeth and dental health.
Dental Veneers

Dental veneers are a versatile cosmetic dentistry option that can dramatically improve the appearance of your teeth. Veneers are thin, custom-made shells that are bonded to the front surface of your teeth, concealing stains, chips, cracks, and gaps. They offer a long-lasting solution for achieving a brighter, more uniform smile. Veneers come in various materials, including porcelain and composite resin, with porcelain being the more durable and natural-looking option. The process typically involves removing a small amount of enamel from your teeth to allow the veneers to fit properly. Veneers provide a durable, aesthetically pleasing solution that can dramatically enhance the appearance of your teeth and boost your confidence. Consulting with your dentist can help you determine if veneers are a suitable option for you.
Maintaining Your White Smile
Maintaining a bright and healthy smile requires consistent oral hygiene and lifestyle adjustments. Regular brushing and flossing are fundamental to removing plaque and preventing stains. Using a whitening toothpaste can help remove surface stains and maintain your teeth’s whiteness. Additionally, regular dental check-ups and professional cleanings are crucial to remove any build-up of plaque and tartar. Dietary choices also play a significant role in preventing staining. Limiting your intake of staining foods and beverages, like coffee, tea, red wine, and berries, can help preserve your teeth’s whiteness. Making informed choices, such as avoiding smoking and maintaining a healthy diet, helps to ensure your smile remains bright for an extended period. By following these guidelines, you can enjoy a confident, radiant smile for years to come.
Oral Hygiene
Proper oral hygiene is the cornerstone of maintaining a white and healthy smile. Brushing your teeth twice daily with fluoride toothpaste is essential for removing plaque and preventing stains. Flossing daily helps to remove food particles and plaque from between your teeth, where brushing can’t reach. Consider incorporating an antibacterial mouthwash into your routine to further reduce plaque and bacteria. Regularly visiting your dentist for check-ups and professional cleanings can help to remove tartar and identify any potential issues early on. Following a consistent oral hygiene routine helps keep your teeth healthy and bright, contributing to a confident smile. The importance of oral hygiene extends far beyond aesthetics, as it supports your overall health and well-being.
Diet and Lifestyle

Your diet and lifestyle significantly affect the brightness and health of your teeth. Avoiding or limiting the consumption of staining foods and beverages, such as coffee, tea, red wine, and dark berries, can help prevent discoloration. Smoking is another significant contributor to teeth staining and can also lead to other serious oral health problems. Incorporating a balanced diet rich in fruits, vegetables, and calcium is beneficial for maintaining strong, healthy teeth. Drinking plenty of water helps to rinse away food particles and acids, reducing the risk of staining. Making informed choices about what you consume and adopting a healthy lifestyle are essential steps in maintaining a bright and beautiful smile. These changes not only improve your teeth’s appearance but also support your overall health.
